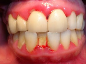
Khi chân răng chảy mủ âm ỉ sẽ có hiện tượng chảy máu chân răng đi kèm. Và khi có xuất hiện thêm hiện tượng chảy máu chân răng chứng tỏ bệnh lý răng miệng đã bước vào giai đoạn nguy hiểm và cần phải chữa trị gấp. Nếu không để về lâu dài sẽ gây ra tình trạng tiêu xương ổ răng và gây mất răng.
Bệnh viêm chân răng có mủ là một dấu hiệu thường xuyên của các bệnh lý răng miệng. Tìm hiểu nguyên nhân, cách điều trị bệnh viêm chân răng có mủ kỹ lưỡng sẽ đề phòng được những biến chứng nguy hiểm như mất răng, tiêu xương ổ răng cho sức khỏe răng miệng của bạn.
Dấu hiệu chân răng có mủ do nhiều nguyên nhân trong đó do hai nguyên nhân chủ yếu:
- Nguyên nhân thứ nhất có thể kể đến như răng bị mắc bệnh nha chu.
Lý do làm xuất hiện hai căn bệnh trên là do chúng ta vệ sinh khoang miệng không sạch sẽ, không đúng cách, làm vi khuẩn có điều kiện để phát triển, trú ẩn tận sâu trong các kẽ chân răng. Lâu ngày, khi sức khỏe chúng ta đi xuống do lao động hoặc do stress, lúc bấy giờ vi khuẩn bắt đầu hoạt động và gây nên các ca viêm nhiễm sâu tận chân răng. Gây ra các bệnh lý và xuất hiện các dấu hiệu của các bệnh lý như chảy mủ chân răng, chảy máu nướu…
Cách điều trị bệnh viêm chân răng có mủ
Để hạn chế cũng như điều trị được tình trạng viêm chân răng có mủ, bạn có thể thực hiện theo những cách dưới đây:
- Vệ sinh răng miệng thật sạch sẽ và thường xuyên hàng ngày:
Ngoài việc đánh răng một ngày ít nhất 2 làn bạn nên sử dụng thêm chỉ nha khoa để làm sạch các vụn bẩn do thức ăn bám vào từ sâu trong các kẽ chân răng mà bàn chải đánh răng không thể với tới được. Nếu để khoang miệng thật sạch sẽ thì bạn nên dùng thêm nước súc miệng bằng dung dịch muối được bán nhiều và đa dạng ở các nhà thuốc Tây.
- Lấy cao răng định kỳ:
Các nha sĩ hàng đầu thế giới khuyên chúng ta nên đi khám sức khỏe răng miệng thường xuyên và lấy cao răng định kỳ 6 tháng một lần để làm sạch các mảng bám trên răng, ngăn ngừa nguyên nhân chủ yếu nhất gây ra các bệnh lý về răng miệng, từ đó sẽ có phương pháp điều trị thích hợp nhất.
- Thói quen ăn uống:
Thường xuyên bổ sung các dưỡng chất giàu vitamin để cung cấp dinh dưỡng cho cơ thể cũng như cho răng miệng. Hạn chế sử dụng các thực phẩm gây nóng, hoặc các thực phẩm có nhiệt độ quá cao hay quá thấp gây tổn thương cho răng miệng.
 
Comments[ 0 ]
Đăng nhận xét